医疗动态
高难度支架置入术重启呼吸希望——肺癌致大气道梗阻患者获新生
当肿瘤步步紧逼堵塞呼吸要道,当每一次吸气都成为奢望,一场与死神竞速的生死营救在我院手术室紧急上演。近日,临沂市中心医院呼吸与危重症医学科二病区介入团队凭借精湛医术,成功为一名肺癌致大气道严重梗阻患者独立实施高难度Y型支架置入术,精准打通“生命通道”,让患者重获呼吸希望。
命悬一线:肿瘤封堵呼吸“主干道”
患者秦先生(化名)因肺癌进展,出现进行性呼吸困难,病情急转直下,被紧急送往我院就诊。大气道作为人体呼吸的“核心主干道”,一旦被肿瘤严重堵塞,患者随时面临窒息风险。更为棘手的是,秦先生的肿瘤位置特殊,已累及气管隆突及双侧主支气管,形成复杂的气道梗阻,常规治疗手段难以奏效,生命危在旦夕。
“患者入院时呼吸困难症状显著,血氧饱和度持续走低,若不立即干预,短时间内就可能因呼吸衰竭危及生命。”呼吸与危重症医学科二病区邢士刚主任介绍,大气道梗阻属于呼吸科急危重症,病情进展迅速,救治窗口期极短,必须争分夺秒制定干预方案。
迎难而上:多学科协作敲定个体化方案
面对这例复杂危重病例,呼吸与危重症医学科迅速启动多学科会诊(MDT)机制,联合麻醉科、胸外科等相关科室专家共同研判。经全面评估患者病情后,团队发现,传统气管插管、机械通气仅能临时缓解症状,无法解决根本梗阻问题,且患者处于肺癌晚期,无外科手术治疗指征。
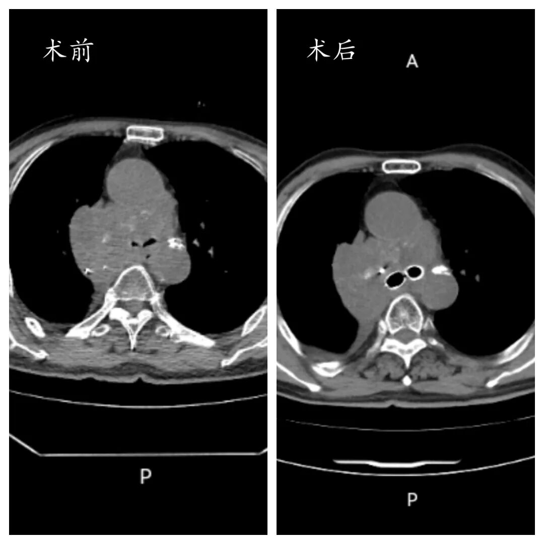
综合考量后,团队一致决定为患者实施经支气管镜Y型支架置入术——这是目前治疗复杂大气道梗阻最有效的核心手段之一。“Y型支架置入对技术精度要求极高,气管隆突作为气道‘三岔路口’,支架需精准贴合病灶,既要保证固定稳定不移位,又要确保双侧主支气管完全通畅,任何细微偏差都可能导致手术失败,甚至加重病情。”邢士刚主任进一步解释道。

千钧一发:精准操作攻克手术难关
手术当天,在麻醉科团队精准麻醉、气管镜室护理团队默契配合下,邢士刚主任带领介入团队正式开启这场与死神的较量。手术室内气氛凝重而有序,医护人员全神贯注,借助支气管镜清晰成像,在狭窄且脆弱的气道内小心翼翼地开展操作。
“患者肿瘤组织质地脆嫩,极易出血,给手术操作增添了极大难度。我们既要快速打通气道,又要严格控制出血,每一步操作都如履薄冰。”
经过数小时的攻坚克难,Y型支架成功精准置入,完全覆盖肿瘤狭窄段,双侧主支气管瞬间恢复通畅。当监测仪器上的血氧饱和度数值稳步回升,秦先生的呼吸逐渐平稳,整个手术团队终于松了一口气。

重获新生:呼吸顺畅重燃生活希望
术后,秦先生的呼吸困难症状得到显著缓解,血氧饱和度恢复至正常水平,生命体征趋于平稳。在呼吸监护室接受两天的精细化治疗与护理后,患者病情稳定,生活质量大幅提升,顺利转回普通病房继续后续治疗。
“感谢医生给了我第二次生命!”秦先生激动地说道,“之前连呼吸都费劲,睡觉更是一种奢望,现在终于能顺畅呼吸、安稳入眠了。”简单的话语,饱含着对医护团队的无限感激。

技术突破:筑牢危重症诊疗防线
此次Y型支架置入术的独立成功开展,标志着医院在复杂气道疾病介入治疗领域取得重要突破。该技术的成熟运用,为肺癌所致大气道梗阻、气管支气管狭窄等急危重症患者提供了全新的救治路径,让更多濒临窒息的患者看到生的希望。
“我们将以此次技术突破为契机,持续提升复杂气道疾病的诊疗水平,不断探索新技术、新方法。”邢士刚主任表示,呼吸与危重症医学科二病区团队将始终坚守医者初心,以精湛医术为刃,为更多危重症患者打通“生命通道”,用责任与担当守护人民群众生命健康。
每一次与死神的博弈,都是医者仁心的生动诠释;每一次成功的救治,都凝聚着医护团队的专业与坚守。在生与死的考验面前,我院医护人员以无畏勇气攻坚克难,以温暖守护传递力量,用实际行动为患者撑起一片生命蓝天。
上一篇: 孕妇血糖高该怎么办?
下一篇: 这项微创技术,解决男性排尿大难题









